Endodontics
Saving Teeth With Precision
Saving Teeth With Precision
Endodontics focuses on preserving natural teeth by treating pulp-related diseases and injuries. Advanced techniques like root canal therapy alleviate pain, prevent infections, and restore dental function. For patients, it safeguards smiles and avoids extensive treatments, while for dentists, it ensures expert care and reliable outcomes.
The Importance of Preserving Natural Teeth
Keeping your natural teeth should always be a top priority. Their unique structure and deep connection to your oral health make them invaluable.
Teeth are intricately designed, showcasing remarkable precision in their function. Each tooth plays a specific role, and losing even one can upset the delicate balance of the body.
Preserving teeth isn’t just a choice; it’s a vital responsibility. Exploring all possible ways to save them should always come before considering alternatives.
About
Kristlee Fernandes
I began my dental journey in 1998 at the prestigious Goa Dental College and Hospital, advancing my expertise in Conservative Dentistry and Endodontics. Since 2007, I have balanced clinical practice with epistoria, dedicated to patient care and mentoring future dental professionals.
With over two decades of specialisation in endodontics, I take pride in every successful root canal treatment, preserving smiles and enhancing oral health. Dentistry is more than a profession for me—it is a passion that drives my commitment to excellence and patient well-being.
Gallery
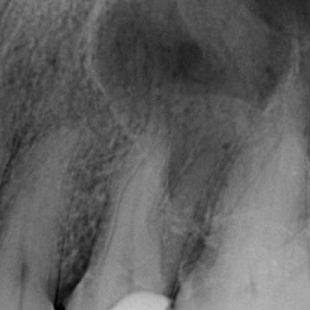
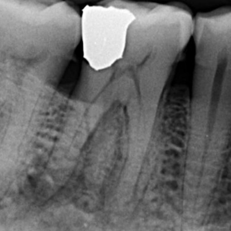
Before
After
Radix Entomolaris
Before
After
3 Rooted Premolar
Before
After
Re-RCT
Before
After
Curved canals
Before
After
Mulbery Molar
Before
After
Molar with 6 canals
Our Patients
Donna C
I went here for root canal treatment 3 weeks ago as Dr Fernandes was recommended to me by my own dentist as being the best to provide this service.
V ASMR
It’s been almost an year since I was desperately looking to find a dentist for a root canal and Dr Kristlee Fernandes took me in, he did a splendid job, …..
Nick P
I recently underwent a root filling at Deddington Dental. I’ve had a number of these in the past, in different practices and countries, and this was the best experience to date. Very highly recommended.
Jessica M
I came to Dr. Fernandes after having a really bad experience with another dentist. I had a terrible infection on one on my teeth that went to the bone. Other dentists just wanted to extract the tooth but Doctor Fernandes treated the affected teeth with a root canal treatment …..
Anne R
I always feel well looked after by Dr Fernandes who takes every care to be thorough and careful. Thank you
Leah S
Dr Kristlee is the best! I can’t thank him enough for his positive attitude and making me feel welcome.
Debbie H
I’ve been very impressed with my dental experiences with Dr Fernandes. I first went to see him for a second opinion on a root canal treatment and he was really helpful. Since that time he has been my regular dentist and I think he’s one of the best dentists I’ve ever had. He fills you with confidence that he
Kate S
The team are really friendly and very professional. A big thank you to Emily Potts and India Leo for everything
I am very nervous patient but Dr. Kristlee Fernandes was very gentle and kept me informed every step of the way also he is extremely professional.
I would definitely recommend Rock Dental Practice.









